Electrocardiogram (ECG)

An ECG (electrocardiogram) is a record of the electrical activity of the heart. It is used to measure the rate and regularity of the heart, and normally takes 5 – 10 minutes.

See video (courtesy of British Heart Foundation)

Insurance: Not covered, payable directly to the hospital

Exercise Stress Test

An exercise stress text is used to assess the heart’s response to exercise in a supervised environment. The test involves exercising on a treadmill at increasing levels of difficulty, while the heart rate, blood pressure and ECG are continually monitored. The test usually takes 20 – 30 minutes. We advise you to wear comfortable shoes for exercise, to bring a list of your current medications and not to drink coffee beforehand.

See video (courtesy of British Heart Foundation)

Insurance: Not covered, payable directly to the hospital

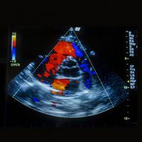
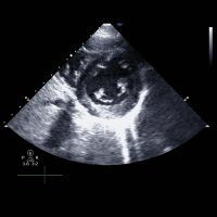
Echocardiogram (Echo)

An echo is an ultrasound scan of the heart. The test is used to acquire images of the heart, to identify if the heart is pumping effectively, if there’s a valve abnormality, or if there’s any previous damage to the heart.

See video (courtesy of British Heart Foundation)

Insurance: check with your provider

Procedure code: 5108

Blood Pressure Monitor

A blood pressure monitor continuously records blood pressure over a 24 hour period. An inflatable cuff is worn on the upper arm and connected to a small monitoring / recording device. The cuff will inflate and deflate at regular intervals, recording your blood pressure.

Insurance: Not covered, payable directly to the hospital

Holter/Event Monitor

A Holter / event monitor helps to diagnose cardiac arrhythmias – abnormal heart rhythm problems. The monitor is a portable device which can be worn for up to 24 hours, or a week, depending on your symptoms. It records the heart rate and rhythm during everyday activities.

Insurance: Not covered, payable directly to the hospital

Loop Recorder & Pacemaker Interrogation

These tests analyse the data from your implanted device.

Insurance: Not covered, payable directly to the hospital

Cardiac CT Scanning/Calcium Score

This test is a special x-ray using computed tomography (CT). The first part of the test measures calcium build-up in the walls of the coronary arteries. The second part of the examination looks to identify plaque build-up within the walls of the coronary arteries. Some insurance companies cover the cost of this test, so please check with your insurer.

Insurance: check with your provider

Cardiac MRI Scanning

This test provides a detailed assessment of the heart structure, function and blood supply. Cardiac MRI scanning is used to plan patient’s treatment for complex cardiac disorders. Please check with your insurance company to see if you are covered.

See video (courtesy of British Heart Foundation)

Insurance: check with your provider

Procedure code: 7049

Stress Echo

This examination combines the imaging of transthoracic echo with a cardiac stress test. The stress is either physical exercise on a bicycle or treadmill or alternatively using a pharmacological agent to stress the heart. The test is used to assess the effects of your cardiac condition during stress and takes approximately 45 minutes. Please check with your insurance company to see if you are covered.

Insurance: check with your provider

Procedure code: 5022

Transoesophageal Echo (TOE)

This ultrasound examination involves the patient swallowing the echo probe into the oesophagus. This allows the cardiologist to acquire detailed images of the cardiac anatomy especially the heart valves. This test is often used to assess and plan for heart valve surgery. Please check with your insurance company to see if you are covered.

Insurance: check with your provider

Procedure code: 5109

* Prices are correct at the time of publication.